뇌경색 전조증상 10가지 알아보기: 생명을 지키는 10분의 눈치 총정리
- 카테고리 없음
- 2025. 5. 10. 19:32
뇌경색 전조증상 10가지 알아보기: 생명을 지키는 10분의 눈치 총정리
“갑자기 한쪽 팔이 저리고 감각이 없었어요.”
“말이 안 나와서 놀랐는데 조금 지나니까 괜찮아지더라고요.”
이런 순간, 그냥 지나치면 안 됩니다.
이는 ‘경고 없이 찾아오는 죽음’으로 불리는 뇌경색의 전조 증상일 수 있기 때문입니다.
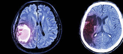
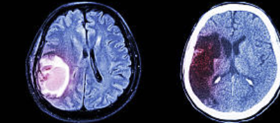
뇌경색은 뇌혈관이 막히면서 해당 부위에 혈류가 차단되어 뇌세포가 괴사되는 질환이며,
초기에 증상을 알아채고 3시간 내 병원에 도착하면 생명과 후유증 모두 지킬 수 있습니다.
이 글에서는 뇌경색이 시작되기 전 나타날 수 있는 주요 전조증상 10가지를
실제 환자 사례와 함께 자세히 알려드립니다.
1. 얼굴 한쪽이 갑자기 처진다



가장 흔한 초기 신호 중 하나는 얼굴 비대칭입니다.
갑자기 한쪽 눈이나 입꼬리가 내려가면서, 웃으려고 해도 한쪽이 움직이지 않는 현상이 발생합니다.
체크 방법: FAST 법칙
| F(Face): 웃을 때 얼굴 비대칭 확인 |
| A(Arm): 팔 들 때 한쪽 떨어짐 |
| S(Speech): 말할 때 발음 이상 |
| T(Time): 즉시 119로 전화 |
✅ 가족이나 지인이 웃는 얼굴을 보며 비대칭 여부를 확인하는 것이 가장 빠른 방법입니다.
2. 팔이나 다리에 힘이 빠진다 (한쪽 마비)
몸의 한쪽 팔 또는 다리에 갑자기 힘이 빠지거나, 움직이기 어려운 증상은
뇌경색의 전형적인 증상 중 하나입니다.
이 마비는 보통 몸의 좌우 중 한쪽만 발생하며, 양측 마비는 드뭅니다.
이런 징후가 있으면 의심해보세요
- 한 손에 물건을 들고 있던 중 갑자기 떨어뜨림
- 계단을 오를 때 한쪽 다리에 감각 없음
- 글씨를 쓸 때 손이 어눌해짐
3. 갑작스럽게 말이 어눌해진다
뇌경색 초기에는 말이 잘 안 나오거나, 말이 느려지고 발음이 꼬이는 증상이 나타납니다.
특히 말을 하려는 의지가 있지만 발음이 부정확하거나, 엉뚱한 단어가 나오는 경우 주의가 필요합니다.
말하기 테스트
| “오늘은 날씨가 맑고 기분이 좋아요” 같은 문장을 또박또박 따라 하게 함 |
| 발음이 흐리거나, 단어가 꼬이면 응급 상황 의심 |
✅ 실어증이 함께 동반될 수 있으며, 환자 스스로 인지하지 못하는 경우도 많습니다.
4. 한쪽 시야가 흐려지거나 보이지 않는다



한쪽 눈 또는 시야의 절반이 갑자기 흐릿해지거나, 시야가 검게 가려지는 증상이 나타날 수 있습니다.
이는 시각을 담당하는 뇌 부위의 혈류가 차단되었기 때문입니다.
시야 이상 증상 설명
| 시야가 반으로 잘림 | 중심선 기준 좌우 절반 시야 소실 |
| 한쪽 눈이 잘 안 보임 | 실명처럼 보일 수 있음 |
| 사물이 흐릿하거나 겹쳐 보임 | 복시 증상 |
5. 갑작스러운 어지러움과 균형 상실
평소에 없던 극심한 어지러움과 중심 잡기 어려움이 생긴다면
뇌경색의 전조증상일 수 있습니다. 특히 소뇌경색에서 흔하게 나타납니다.
이런 경우 주의
- 걸을 때 비틀거림
- 앉아 있어도 중심이 무너지는 느낌
- 갑자기 넘어질 뻔함
✅ 단순 저혈압과 혼동하기 쉽지만, **동반 증상(시야 흐림, 말 어눌함 등)**이 있을 경우 신속히 병원 이송해야 합니다.
6. 이유 없는 심한 두통



갑작스럽고 극심한 두통은 출혈성 뇌졸중에 흔하지만,
일부 허혈성 뇌경색에서도 초기 신호로 나타날 수 있습니다.
위험한 두통의 특징
| 갑작스럽고 벼락치듯 |
| 목 뻣뻣함, 구토 동반 |
| 진통제로도 잘 낫지 않음 |
✅ 특히 평소 두통이 없던 사람에게 이런 두통이 발생하면 즉시 응급실 내원 권장
7. 어눌한 말투 + 혼돈 상태 (인지력 저하)
갑자기 말이 어눌해지고, 시간이나 장소 인식이 흐려지는 증상은
뇌의 인지 기능을 담당하는 부위(전두엽, 측두엽 등)에 혈류가 차단될 때 나타납니다.
혼돈 징후
| 날짜나 위치 파악 못함 |
| 대화 중 자꾸 엉뚱한 말 |
| 집중력 급격히 저하 |
8. 입 주변 혹은 손발의 감각 이상
손끝, 발끝, 입 주변이 갑자기 저릿하거나 감각이 무뎌지는 현상은
뇌혈류에 이상이 생겼다는 신호일 수 있습니다.
특히 침 맞은 것처럼 찌릿하거나 감각이 둔해지는 느낌이 주요 증상입니다.
✅ 감각 이상은 마비와 함께 오는 경우도 있지만 단독으로만 나타나기도 하므로 놓치기 쉬운 신호입니다.
9. 갑자기 말을 못하고 멍한 상태가 된다 (TIA)
일과성 허혈발작(TIA)은 일시적으로 뇌혈류가 줄어드는 증상으로,
수 분 내에 회복되지만 뇌경색의 전조 상태로 간주됩니다.
TIA의 특징
| 1~30분 내 증상 사라짐 |
| 마비, 어눌한 말투, 시야 흐림 |
| 뇌경색 발생 위험 최대 48시간 이내 ↑ |
✅ TIA를 경험한 환자의 10~15%는 3개월 이내 실제 뇌경색 발생 위험이 큽니다.
10. 갑작스럽게 의식을 잃거나 혼수상태
드물지만 경색이 광범위하거나 뇌간을 침범했을 경우,
초기부터 의식을 잃고 쓰러지는 경우도 있습니다.
의심 상황
- 갑자기 쓰러짐
- 이름을 불러도 반응 없음
- 발작처럼 떨림이 동반되기도 함
✅ 이는 응급 중의 응급 상황으로, 즉시 119 신고가 필요합니다.
뇌경색 전조증상 체크리스트
증상 해당 여부 (✓)
| 얼굴 한쪽이 내려가고 웃는 게 어색하다 | |
| 팔이나 다리 한쪽에 힘이 없다 | |
| 말이 어눌하고 발음이 부정확하다 | |
| 시야가 흐려지거나 반으로 잘린 것 같다 | |
| 어지럽고 중심이 잡히지 않는다 | |
| 갑작스러운 두통이 평소보다 심하다 | |
| 말이 헛돌고 집중력이 떨어진다 | |
| 손끝, 입 주변이 저리거나 감각이 없다 | |
| 수 분 동안 증상이 있다가 사라졌다 | |
| 쓰러지거나 의식을 잃은 적 있다 |
☑️ 2가지 이상 해당되면 뇌경색 전조 증상일 수 있습니다. 3시간 골든타임을 놓치지 마세요.
Q&A: 뇌경색 전조증상 관련 궁금증
Q1. 전조증상이 있었다가 사라지면 괜찮은 건가요?
→ 아닙니다. 일시적으로 사라졌더라도 뇌경색의 전조일 수 있으므로 반드시 신경과 진료가 필요합니다.
Q2. 뇌경색은 고혈압, 당뇨 없으면 안 생기나요?
→ 그렇지 않습니다. 흡연, 스트레스, 수면 부족, 심방세동 등도 중요한 위험 인자입니다.
Q3. 뇌경색은 통증이 없나요?
→ 대부분의 경우 **통증은 없고 기능 이상(마비, 말 어눌함 등)**이 먼저 나타납니다.
두통은 일부에만 동반됩니다.